Zoom Teeth Whitening in Tijuana. Get a brighter smile with the latest technology: Philips Zoom.
At Trust Dental Care, we work with the brands you trust.

Zoom Teeth Whitening in Tijuana we offered in Trust Dental Care Tijuana; dental clinic that focuses on delivering top-of-the-line cosmetic dentistry at costs that don’t break the bank, offering in-house Philips Zoom. This is your solution if you desire a whiter smile in Tijuana. Are you interested in teeth whitening treatment but worried about the pain? It’s a common concern. If you’d like to learn more about it, you can read about it here.
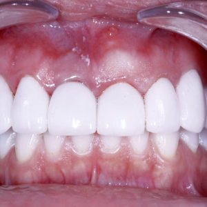
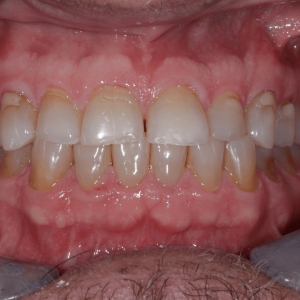
Philips Zoom is one of the most reliable and effective teeth whitening systems available. With advanced LED light technology and formulated whitening gel, shades on your teeth get lightened to eight in number in a single visit. This acting duo breaks down the most tough stains and discoloration caused by coffee, tea, red wine, tobacco, and just plain aging. The result is a much cleaner, whiter-looking smile.
We use the latest technology and observe the highest standards of care to make your visit comfortable and effective.
Trust Dental Care in Tijuana Mexico believes everybody should have the chance to show off an amazing smile, and not have to break a bank to do so. Our competitive pricing for Philips Zoom teeth whitening will help you invest in your appearance without those high costs typically seen with cosmetic dentistry in other countries.
Our skilled dental professionals are well-versed experts in cosmetic dentistry; we’ll make sure your whitening treatment is safe and effective.
Take the first step to smile radiantly. Contact Trust Dental Care in Tijuana today to book your Philips Zoom Whitening appointment, and let us help you shine a little brighter than yesterday!
Whether you desire a Hollywood smile as seen on television with perfect teeth alignment or just great-looking and brilliant white teeth that display total confidence, Philips Zoom Teeth Whitening in Tijuana will make your dream come true. A Hollywood smile means more than just well-aligned teeth. It involves having an ultra-bright smile so that when you smile wider, it shows a tremendous amount of confidence.



It’s much in demand from people looking to leave a long-lasting impression with their appearance. Getting ready to attend an occasion or just enhancing your day-to-day look, our whitening service will bring you that sparkling smile that goes on to become iconic on the faces of many celebrities and public figures.
Our expert Tijuana dentists provide top-notch Zoom teeth whitening solutions tailored to your needs. Request an appointment now to brighten your smile while enjoying exceptional care at an affordable price!
Big Money Savings: Teeth Whitening in Tijuana is done with the same quality as in the U.S. but cost much less, which makes this option very attractive for people looking for cheap healthcare services.
Proximity of Tijuana to the U.S.: Tijuana’s closeness to the United States makes it a prime hot spot for dental tourism, as it can easily provide the U.S. with low-cost professional dental services.

Board-Certified Implant & Cosmetic Dentistry Specialist
Top Scorer in Western Regional Boards Exam (WRBE) - Dr. Cirenia Aparicio Miranda is a U.S.-licensed dental surgeon and Active Member of the American Academy of Cosmetic Dentistry (AACD), part of the elite 1% of global dentists with this prestigious certification.
Clinical Achievements:
















Trust Dental truly has an incredible staff. Every single employee treated me with kindness, compassion, and patience. The facility is super clean, the service is exemplary, and the prices are great! They also make it really easy to cross the border going into and out of Mexico.
"Trust Dental truly has an incredible staff. Every single employee treated me with kindness, compassion, and patience. The facility is super clean, the service is exemplary, and the prices are great! They also make it really easy to cross the border going into and out of Mexico."

"I had a great experience. The staff were friendly and professional, and they really took their time to explain everything to me and made sure I understood my treatment options before moving forward. The office is clean and welcoming, and I felt completely at ease during my visit."

"Fantastic! Saving thousands coming here. The dentists here are very professional and pleasant to work with. Finding the building was a breeze and so was parking. Will be coming back to continue treatment with this place. Highly recommended in quality and price🙏🙌."

Need assistance with insurance verification or payment plans?
Contact Our Billing TeamAt Trust Dental Care Tijuana Mexico, we provide a Zoom teeth whitening procedure is fast, safe, and pain-free.

A thorough consultation to check your dental health and decide whether Philips Zoom is the right choice for you.

Our dental professionals will start by protecting your gums and lips before the process of whitening begins, assuring you of a comfortable experience.

A gel of Philips Zoom is carefully applied to the teeth. Then, the Zoom LED light activates the gel, breaking down the stains to brighten your smile.

In under an hour, look for dramatic results, with teeth looking up to eight shades whiter.