Find all the information about Root Canal in Tijuana and which one is best for you at trust dental care tijuana.
At Trust Dental Care, we work with the brands you trust.

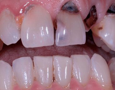
The first thing people experience with a tooth that needs a root canal is sensitivity to certain foods and severe pain. Trust Dental Care performs numerous root canal treatments of 2 different types of U.S.-standard quality at half the price. Learn more about professional dental care in Tijuana at affordable prices.
In simple terms, a root canal is cleaning out a tooth and sealing it. The tooth’s interior is cleaned out because the nerve and pulp become damaged or infected. This area is cleaned and then sealed which helps the tooth to function properly and prevents further problems. You can learn more about the benefits of get a root canal treatment here.
Generally, patients report a response to cold that lingers after the cold stimulus is removed.
Hot or cold sensitivity indicates that the tooth has become inflamed.
The first chief complaint is swelling over the area of involvement.
A non-vital tooth may change color due to damage or a developing infection and might require root canal therapy.

Board-Certified Implant & Cosmetic Dentistry Specialist
Top Scorer in Western Regional Boards Exam (WRBE) - Dr. Cirenia Aparicio Miranda is a U.S.-licensed dental surgeon and Active Member of the American Academy of Cosmetic Dentistry (AACD), part of the elite 1% of global dentists with this prestigious certification.
Clinical Achievements:
















Save up to 75% on a root canal compared to what you’d like to pay in the U.S. Our Tijuana clinic is no exception when it comes to care but doesn’t come with a hefty tag.
Effective treatment and no discomfort during root canals are goals our experienced Tijuana dental team has set for themselves.
We use the latest dental equipment during treatment to ensure that the root canal therapy performed is precise, efficient, and comfortable for the patient.
Just minutes from the U.S. border, a convenient location for American patients seeking affordable dental care.
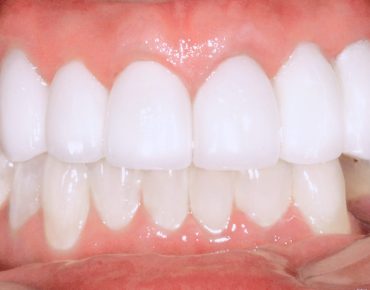
Getting your smile worked on with Porcelain Veneers in Tijuana is quick and simple, usually taking three appointments. A real ceramist artist from our in-house staff makes each veneer, so they are of custom measurement and can be quickly accommodated to your special case.

We will carry out a complete assessment of your case. We will use digital X-rays and other advanced imaging technology to assess the extent of the damage.

We will make sure to adequately comfort you by first applying local anesthesia so you feel no pain in the area to be treated. An additional option for relaxation includes a sedative, providing a stress-free treatment process.

COur experienced dentists will perform your root canal by removing infected tissues in the tooth while cleaning the root canals and sealing them. We ensure that the job is done accurately and assure patient comfort during the whole process.

After the root canal, we give you a set of aftercare instructions to manage the discomfort and enhance healing. We also provide follow-up appointments for better monitoring of your recovery process.
Our Tijuana Dentists prioritize efficiency, cleanliness, and affordability to make your root canal treatment quick and comfortable. Request an appointment now and save on high-quality dental care!
Trust Dental truly has an incredible staff. Every single employee treated me with kindness, compassion, and patience. The facility is super clean, the service is exemplary, and the prices are great! They also make it really easy to cross the border going into and out of Mexico.
"Trust Dental truly has an incredible staff. Every single employee treated me with kindness, compassion, and patience. The facility is super clean, the service is exemplary, and the prices are great! They also make it really easy to cross the border going into and out of Mexico."

"I had a great experience. The staff were friendly and professional, and they really took their time to explain everything to me and made sure I understood my treatment options before moving forward. The office is clean and welcoming, and I felt completely at ease during my visit."

"Fantastic! Saving thousands coming here. The dentists here are very professional and pleasant to work with. Finding the building was a breeze and so was parking. Will be coming back to continue treatment with this place. Highly recommended in quality and price🙏🙌."

Visit us and consult with us to learn how we can help you restore your smile with personalized, high-quality treatment plans at an affordable price.
Need assistance with insurance verification or payment plans?
Contact Our Billing Team