Dental Crowns in Tijuana on the same day. The latest Technology facilities all dental treatments at Trust Dental Care.
At Trust Dental Care, we work with the brands you trust.

Dental Tooth Crown in Tijuana with us. Our expert team offers same-day crowns CEREC to restore your smile in a single visit. Using advanced technology, we ensure top-quality care that’s quick, efficient, and reliable. Whether you’re repairing a damaged tooth or enhancing your smile with a dental implant, we’re here to deliver the results you need. Trust our experience for a seamless, satisfying treatment experience.
See real patient transformations with our advanced implant treatments

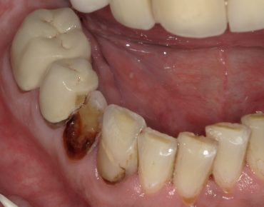
Case #1: dental bridge in Tijuana
Dental crowns RestorationA crown protects the tooth and restores its structure and function after root canal therapy or extensive decay.
Crowns strengthen teeth with large fillings or fractures, providing stability and durability.
Crowns improve the appearance of discolored, misshapen, or misaligned teeth, making them look natural and aesthetically pleasing—a true crowning glory.
Crowns restore implants, replacing missing teeth with a durable and visually appealing solution.
Purpose: Restore a damaged or weakened natural tooth, enhancing function and appearance.
Process: Tooth preparation, digital impressions, and custom crown crafting—all completed in a single visit.
Purpose: Replace missing teeth with a durable, permanent solution that looks and functions like a natural tooth.
Process: Once the implant post integrates with the jawbone, a custom crown is fitted on top to complete the restoration.
Experience efficient and precise dental crown procedures in a clean, safe environment. Fill out the form to schedule your consultation and enjoy long-lasting results at an affordable price.
We use premium materials from Ivoclar, a world-renowned leader in high-quality dental products. Ivoclar’s restorative and cosmetic dentistry innovations offer exceptional solutions, combining the latest materials to enhance aesthetics and durability. Their research-driven approach ensures our crowns meet the highest standards and perform exceptionally well, thanks to continuous advancements.
Emax crowns offer strength and natural translucency, making them ideal for front teeth. Their flawless, lifelike appearance enhances the smile beautifully.
Emax crowns are highly durable and resistant to wear, ideal for posterior teeth where strength is essential. They combine resilience with a natural, aesthetic look.
This includes digital X-rays and 3D scans to gather precise details about your teeth, which are crucial for designing bridges that fit perfectly with your smile.

The dentist conducts a clinical exam and X-rays to assess the health of the adjacent teeth (called abutments) and gums.Impressions or digital scans are taken to plan the bridge design.The material for the bridge (porcelain, zirconia, metal-ceramic, etc.) is selected based on the patient’s needs.

The abutment teeth (next to the gap) are reshaped by removing enamel to create space for the crowns that will hold the bridge.New impressions are taken of the trimmed teeth to custom-make the bridge.A temporary bridge is placed to protect the prepared teeth and maintain aesthetics while the permanent bridge is fabricated.

Impressions are sent to a dental lab, where technicians craft the custom bridge.The bridge includes crowns (to fit over the abutments) and the artificial tooth (or pontic) that fills the gap.This process typically takes 2–3 weeks.

We place your custom crown, ensure a perfect fit, and make any necessary adjustments for comfort. You leave with a restored smile in just one visit.
Affordable Excellence: Trust Dental Care offers first-world dentistry with 75% savings. Come for the top-notch service and craftsmanship, but leave the overinflated price tag behind.
Convenience and Comfort: Our office provides a relaxing environment and same-day service. We provide efficient work with significant results for your smile.

Board-Certified Implant & Cosmetic Dentistry Specialist
Top Scorer in Western Regional Boards Exam (WRBE) - Dr. Cirenia Aparicio Miranda is a U.S.-licensed dental surgeon and Active Member of the American Academy of Cosmetic Dentistry (AACD), part of the elite 1% of global dentists with this prestigious certification.
Clinical Achievements:
















Trust Dental truly has an incredible staff. Every single employee treated me with kindness, compassion, and patience. The facility is super clean, the service is exemplary, and the prices are great! They also make it really easy to cross the border going into and out of Mexico.
"Trust Dental truly has an incredible staff. Every single employee treated me with kindness, compassion, and patience. The facility is super clean, the service is exemplary, and the prices are great! They also make it really easy to cross the border going into and out of Mexico."

"I had a great experience. The staff were friendly and professional, and they really took their time to explain everything to me and made sure I understood my treatment options before moving forward. The office is clean and welcoming, and I felt completely at ease during my visit."

"Fantastic! Saving thousands coming here. The dentists here are very professional and pleasant to work with. Finding the building was a breeze and so was parking. Will be coming back to continue treatment with this place. Highly recommended in quality and price🙏🙌."

Welcome to Trust Dental Care, where convenience meets excellence and we complete smile makeovers in just one day. Using high-quality materials from Ivoclar (Emax and Zirconia), we ensure strong, aesthetic results in all our cosmetic procedures. Whether you’re fixing a damaged tooth or enhancing your smile, our experienced team offers personalized care and custom solutions. Book your appointment today for affordable, top-quality dental crowns in Tijuana. There’s no better time than now to start creating your perfect smile!
Need assistance with insurance verification or payment plans?
Contact Our Billing Team