Explore our gallery smile and testimonials about the advanced dentistry treatments in Tijuana.
Discover what our patients say about their advanced dentistry treatment in Tijuana. Remember, you can have a healthy and brighter smile at an affordable price, saving up to 70% compared to the United States and Canada. Our team of expert dentists in Tijuana is dedicated to delivering top-quality care. We focus on personalized treatments to meet each patient’s unique needs. In this video, you can watch all the experiences of this patient who needs a dental implant.
Our dentists use the latest technology to ensure the best results. If you’re interested in getting Dental Implants, All-On-4 Dental Implants, Root Canal, or Wisdom Tooth Extractions in Tijuana, you can Book an Appointment with us. Check this section if you have any questions about payment methods or dental insurance. We can also help you with your dental trip to Mexico; we can pick you up at the border with VIP limousine service and Accommodation.

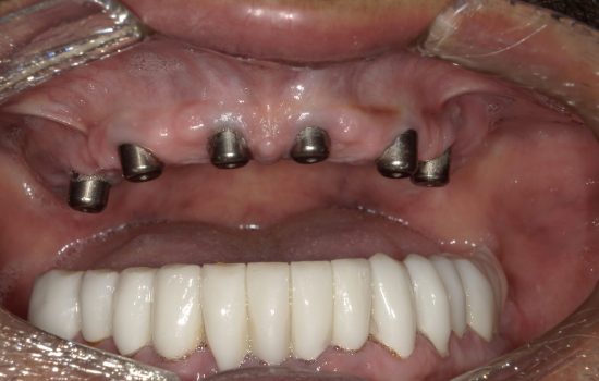
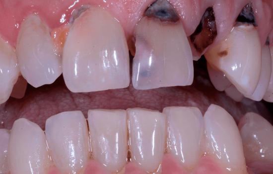
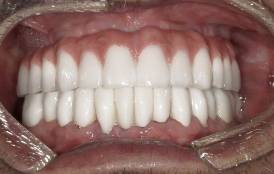
Case #1: All on 6 Dental Implants in Tijuana
Complete Permanent Denture Restoration

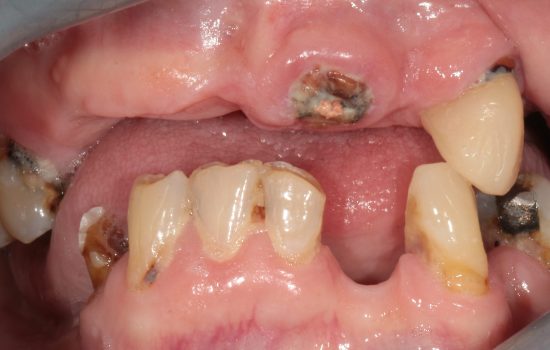
Case #2: All On 4 Dental Implants in Tijuana
Complete Restoration in 72 Hours

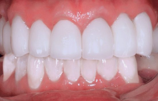
Case #3: All on 4 Dental Implants in Tijuana
Complete Restoration in Less 72 Hours

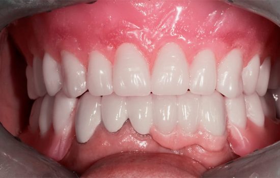
Case #4: All On 4 Dental Implants in Tijuana
Custome Smile Makeover