Here you will find all the information about Composite Veeners Tijuana,Including reviews and before and afters.
At Trust Dental Care, we work with the brands you trust.

They are thin layers of tooth-colored resin, applied to the front surface of your teeth. Their design is aimed at enhancing the appearance of your smile by correcting imperfections such as chips, gaps, and discoloration. An excellent choice for individuals looking to achieve a stunning smile without extensive dental work.
Smile at its best with composite dental veneers at Trust Dental Care Tijuana Mexico. Whether you’re looking for a Hollywood smile or a full Smile Makeover, this advanced-quality veneer is the cost-effective solution to improve your dental aesthetics. With vast experience and advanced techniques, we can help to create the perfect and radiant smile that one has always desired. If you want to know more read here.
Affordable and Effective
Composite veneers are a great alternative to porcelain veneers, as they are cost-effective and produce excellent results. These are quick and effective solutions for getting the perfect smile.
Quick Application
Composite veneers are ready in one sitting. This means you can achieve a new smile with an easy solution quickly.
Customizable
Compared to other veneers, placing composite veneers requires minimal tooth preparation, preserving a higher percentage of the natural tooth structure.
Tooth Preparation
Compared to other veneers, composite veneers require minimal tooth preparation, preserving more of your natural tooth structure.
Versatile
Uneven teeth, staining, and minor misalignments are cosmetic issues that can be sorted out with composite veneers, making them good all-rounders for enhancing smiles.
We prioritize your comfort, health, and budget. Request an appointment today and let our Tijuana Dentist Team design the perfect veneers to enhance your smile.
Incorporating composite dental veneers into it can completely transform the way you look. A Smile Makeover is a custom-picked set of cosmetic enhancements just for you. One of the vital components of this overall approach is using composite veneers to create a unified and esthetically pleasant smile.
Personalized Treatment
Our team will design a customized Smile Makeover plan that includes composite veneers and other treatments like teeth whitening, dental crowns, or orthodontics.
Enhanced Confidence
Specifically, a Smile Makeover with composite veneers can achieve the highest levels of confidence because it improves different features of the smile, such as color, shape, and general alignment.
Long-Lasting Results
With proper care, composite veneers can bring about long-lasting results. They ensure that your new smile remains vibrant and beautiful in the years to come.
If you previously desired a Hollywood smile, composite dental veneers are ideal. The ultra-thin veneers can significantly enhance the look of an individual’s teeth to produce what is referred to in many places as a picture-perfect smile. For those seeking a makeover worthy of any movie star and having some control in creating their new smiles to complement striking facial features that reflect uniqueness, composite veneers are likely suitable.
Trust Dental Care in Tijuana Mexico features accomplished cosmetic dentists able to use basic skills for crafting composite veneer lines with results that are stunning and natural appearances. Whether you want to brighten your smile or correct minor imperfections, composite veneers can help you achieve the glamorous look you desire.
Reasons why going for Porcelain Veneers in Tijuana is so advantageous to patients looking for quality cosmetic dentistry and affordable pricing:
Affordable Pricing
For cosmetic dental procedures, Tijuana offers very low prices in comparison with the United States; this makes getting composite veneers a cost-effective
Expert Care
Trust Dental Care Tijuana has a staff of highly experienced cosmetic dentists who specialize in creating beautiful, natural-looking veneers.
Convenient Location
With a location just across the border, Tijuana is the obvious choice for American patients who want high-quality dental work at cheap prices.
Personalized Treatment: Our team will design a customized Smile Makeover plan to include composite veneers and other treatments like teeth whitening, dental crowns, or orthodontics.
Enhanced Confidence: Specifically, in relation to a Smile Makeover with composite veneers, the highest levels of confidence can be obtained because it improves different features of the smile, such as color, shape, and general alignment.
Long-Lasting Results: With proper care. composite veneers can bring about long-lasting results by making sure that your new smile is maintained to be as vibrant and beautiful in the years to come.
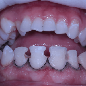
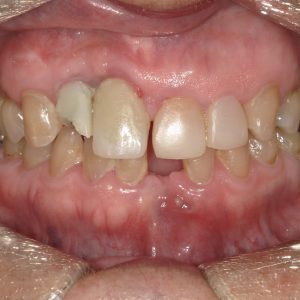
See real patient transformations with our composite dental veneers treatments

Case #1: All on 6 Dental Implants in Tijuana
Complete Permanent Denture Restoration

Case #2: All On 4 Dental Implants in Tijuana
Complete Restoration in 72 Hours

Case #3: All on 4 Dental Implants in Tijuana
Complete Restoration in Less 72 Hours

Case #4: All On 4 Dental Implants in Tijuana
Custome Smile Makeover
Board-Certified Implant & Cosmetic Dentistry Specialist
Top Scorer in Western Regional Boards Exam (WRBE) - Dr. Cirenia Aparicio Miranda is a U.S.-licensed dental surgeon and Active Member of the American Academy of Cosmetic Dentistry (AACD), part of the elite 1% of global dentists with this prestigious certification.
Clinical Achievements:
















Trust Dental truly has an incredible staff. Every single employee treated me with kindness, compassion, and patience. The facility is super clean, the service is exemplary, and the prices are great! They also make it really easy to cross the border going into and out of Mexico.
"Trust Dental truly has an incredible staff. Every single employee treated me with kindness, compassion, and patience. The facility is super clean, the service is exemplary, and the prices are great! They also make it really easy to cross the border going into and out of Mexico."

"I had a great experience. The staff were friendly and professional, and they really took their time to explain everything to me and made sure I understood my treatment options before moving forward. The office is clean and welcoming, and I felt completely at ease during my visit."

"Fantastic! Saving thousands coming here. The dentists here are very professional and pleasant to work with. Finding the building was a breeze and so was parking. Will be coming back to continue treatment with this place. Highly recommended in quality and price🙏🙌."

Ready to enhance your smile with composite dental veneers? Trust Dental’s trusted dentists in Tijuana are dedicated to giving you the perfectity and movie-star shine that completes your Hollywood smile. Contact us for an appointment so that we may confirm whether composite veneers will transform your smile.
Need assistance with insurance verification or payment plans?
Contact Our Billing TeamLearn about the process of getting composite veneers in Tijuana.

The beginning of your journey to that perfect smile commences with a visit for consultation at Trust Dental Care Tijuana, where our in-house expert cosmetic dentist will examine your dental health and talk about what you aim to achieve aesthetically. A treatment plan is then drawn up and made to measure.

Through advanced imaging technology, we will capture fine impressions of your teeth. This enables us to create composite veneers perfectly harmoniously with surrounding natural teeth in form and color. We make adjustments during fitting to ensure the best possible outcome.

In many cases, composite veneers need little or no preparation. The application is by lightly preparing the teeth’s outer layers to get better adhesion, all while attempting to maintain maximum amounts of natural tooth structure.

During the application, we delicately sculpt and bond the composite resin to the teeth. We layer the resin and harden it using a special light to shape and color it perfectly. Typically, this process involves just one visit.

After applying the veneers, we make final adjustments by polishing them for a perfect fit and aligning them appropriately. We polish your veneers to give them a natural, smooth finish.

We will schedule a follow-up visit to ascertain that the veneers are functioning well and for you to ask any questions that you may have and, if needed, provide instructions for taking control of your new smile.